빠진 치아 하나 방치했을 뿐인데…
내 입속에서 벌어지는
‘나비효과’의 경고
하나의 빈자리가 전체 구강 구조를 무너뜨립니다. 통증이 없다고 미루는 사이 조용히 진행되는 잇몸뼈 흡수와 치열 붕괴의 위험성을 확인하세요.
“당장 씹는 데 큰 지장 없는데, 나중에 하면 안 될까요?”
치아 상실 후 치료를 미루는 결정은 미래에 더 큰 수술과 비용이라는 부메랑으로 돌아옵니다.
상실된 치아는 그 자리만 비어있는 것이 아니라, 입속 전체의 균형을 유지하던 지지대가 사라진 것입니다. 목동이안치과가 치아 방치가 불러오는 연쇄적인 악순환의 고리를 분석해 드립니다.
의학적으로 입증된
치조골 흡수의 비가역성
“치아 추출 후 첫 6~7개월 이내에 협설측 치조골 폭경의 약 29~63%가 감소하며, 이는 임플란트 식립을 위한 최적의 시기를 결정하는 핵심 요인이 됩니다.”
• 급격한 초기 골 흡수: 발치 후 초기 3~6개월 동안 가장 빠른 속도로 골 폭경이 감소하며, 이후에는 점진적인 감소세로 접어듭니다.
• 수평적 골 손실의 심각성: 6개월 시점에서 **수평적 폭경 감소(약 3.79mm)**는 수직적 높이 감소(약 1.24mm)보다 훨씬 더 현저하게 나타납니다.
• 광범위한 골 손실의 수치화: 발치 부위를 다시 열어 확인했을 때(Re-entry), 6개월 만에 수평적으로는 최대 63%, 수직적으로는 11~22%의 뼈가 소실됨을 확인했습니다.
• 연조직의 변화 동반: 경조직(뼈)의 손실과 함께 협측 및 설측 연조직 두께가 일부 변화하지만, 뼈의 소실량을 상쇄하기에는 역부족입니다.
결론 : 치아 발치 후 발생하는 치조골의 위축은 초기 3~6개월에 집중되므로, 치조골의 입체적 구조가 더 무너지기 전 조기 수복 및 적절한 치료 계획 수립이 임플란트의 성공률을 높이는 유일한 방법입니다.
Source: https://pubmed.ncbi.nlm.nih.gov/22211303/
방치가 불러오는
4단계 구강 붕괴 과정

도미노처럼 쓰러지는 치열
빈 공간으로 양옆의 치아들이 기울어지기 시작합니다. 치아 사이 틈이 벌어지면서 음식물이 쉽게 끼고, 이는 멀쩡했던 인접 치아의 충치와 풍치를 유발하는 연쇄 작용을 일으킵니다.

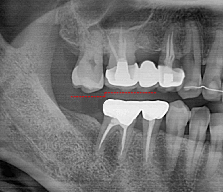
맞물리는 치아의 이탈(정출)
상실된 치아와 맞닿던 반대편 치아가 공중으로 솟거나 내려오는 현상이 발생합니다. 나중에 임플란트를 하려 해도 이 정출된 치아 때문에 공간이 없어 멀쩡한 치아를 깎아야 하는 상황에 직면합니다.

잇몸뼈의 비가역적 소실
사용하지 않는 뼈는 녹아 없어집니다. 방치 기간이 길수록 치조골 높이가 낮아져 임플란트 고정력을 확보하기 어려워지며, 고난도 뼈 이식 수술이 동반되어 치료 비용과 기간이 대폭 늘어납니다.

안면 비대칭과 안면 함몰
한쪽으로만 씹는 습관이 고착화되어 턱관절의 비대칭이 발생합니다. 다수의 치아 상실 시 입술 주위 근육이 말려 들어가 주름이 깊어지고 실제보다 나이 들어 보이는 노안의 원인이 됩니다.